Skip to content Skip to sidebar Skip to footer

Unveiling the Secret Behind Skin Peeling Off Gums

Unveiling the Secret Behind Skin Peeling Off Gums

If you're someone who's experiencing skin peeling off gums, then you know how uncomfortable and frustrating it can be. It's a condition that affects people of all ages, and it's not just limited to adults. Unfortunately, many people are unaware of this condition and are clueless about how to deal with it. The good news is, we're here to help you out.

In this article, we uncover the mystery behind skin peeling off gums. We delve into the possible causes of this condition and what you can do to get rid of it. You might be surprised to learn that poor oral hygiene is only one of the several causes of skin peeling off gums. Other factors include vitamin deficiencies, hormonal changes, irritations caused by dental fillings or braces, and certain medical conditions such as autoimmune disorders.

If you're dealing with skin peeling off gums, read on. We've compiled research-based information to guide you through proper dental care and some home remedies that can help alleviate the symptoms of this condition. With our help, you'll gain renewed confidence and peace of mind, knowing that you can tackle skin peeling off gums head-on, without depending solely on medications or costly dental procedures.

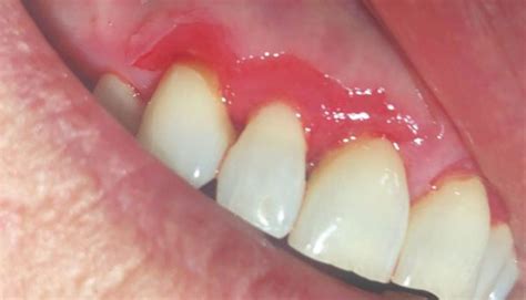
Skin Peeling Off Gums
"Skin Peeling Off Gums" ~ bbaz

Introduction

Skin peeling off gums is a condition that can cause discomfort and frustration to everyone. In this article, we'll uncover the possible causes of this condition and provide some home remedies that can help alleviate the symptoms.

What Causes Skin Peeling Off Gums?

Poor oral hygiene is just one of the many causes of skin peeling off gums. Other factors include vitamin deficiencies, hormonal changes, dental fillings or braces, and certain medical conditions such as autoimmune disorders.

Poor Oral Hygiene

Poor oral hygiene can lead to various dental problems such as gum disease, which can cause skin peeling off gums. It's important to brush and floss regularly and use mouthwash to maintain good oral hygiene.

Vitamin Deficiencies

A deficiency in vitamin C or B complex can lead to skin peeling off gums. Therefore, it's essential to follow a healthy and balanced diet that includes fruits, vegetables, and whole grains.

Hormonal Changes

During puberty, pregnancy, and menopause, hormonal changes can cause various dental problems, including skin peeling off gums. Therefore, visiting a dentist regularly during these periods is crucial.

Dental Fillings or Braces

Irritations caused by dental fillings or braces can result in skin peeling off gums. Therefore, it's essential to practice proper dental care and visit your dentist if you experience any discomfort.

Autoimmune Disorders

Autoimmune disorders, such as lupus or pemphigus vulgaris, can cause skin peeling off gums. It's crucial to consult a doctor if you suspect you have an autoimmune disorder.

Home Remedies for Skin Peeling Off Gums

Several home remedies can help alleviate the symptoms of skin peeling off gums. These include rinsing your mouth with saltwater, applying aloe vera gel to your gums, using tea tree oil, and drinking green tea.

Rinsing with Saltwater

Rinsing your mouth with saltwater can help reduce swelling and alleviate pain. Mix a teaspoon of salt in warm water and rinse your mouth thoroughly.

Using Aloe Vera Gel

Aloe vera's anti-inflammatory properties can help reduce irritation and promote healing. Apply a small amount of aloe vera gel to your gums and let it sit for a few minutes before rinsing it off with water.

Using Tea Tree Oil

Tea tree oil's antibacterial properties can help eliminate harmful bacteria that cause gum problems. Dilute a few drops of tea tree oil in water and rinse your mouth with the solution.

Drinking Green Tea

Green tea contains antioxidants that can help reduce inflammation and promote healthy gums. Drinking a cup of green tea daily can help prevent gum problems.

Conclusion

Skin peeling off gums can be uncomfortable, but the good news is that there are several causes and home remedies for this condition. With proper oral hygiene and a healthy diet, you can prevent this condition from occurring. If you experience any discomfort, it's crucial to visit your dentist or doctor for a proper diagnosis and treatment plan.

Causes Prevention
Poor Oral Hygiene Brush and floss regularly, use mouthwash, and visit your dentist regularly
Vitamin Deficiencies Follow a healthy and balanced diet that includes fruits, vegetables, and whole grains
Hormonal Changes Visit your dentist regularly during puberty, pregnancy, and menopause
Dental Fillings or Braces Practice proper dental care and visit your dentist if you experience any discomfort
Autoimmune Disorders Consult a doctor if you suspect you have an autoimmune disorder

Opinion: It's essential to maintain good oral hygiene and follow a healthy diet to prevent skin peeling off gums. Home remedies such as rinsing with saltwater, using Aloe Vera gel, using tea tree oil, and drinking green tea can help alleviate the symptoms of this condition. If you experience any discomfort, it's crucial to visit your dentist or doctor for a proper diagnosis and treatment plan.

Thank you for taking the time to read this article on uncovering the secret behind skin peeling off gums. We hope that you found it informative and enlightening.

It is essential to maintain good oral hygiene practices, such as regular brushing and flossing, to prevent gum problems from occurring. However, if you do experience symptoms like peeling or bleeding gums, it is best to seek professional help from your dentist or periodontist to determine the underlying cause and receive appropriate treatment.

Remember, healthy gums are crucial not only for maintaining excellent oral health but also for maintaining overall wellness, as research continues to demonstrate a link between gum disease and serious health conditions like heart disease, diabetes, and stroke. Therefore, make sure to take good care of your gums so they can take care of you!

People Also Ask About Unveiling the Secret Behind Skin Peeling Off Gums:

  1. Why is my gum peeling off?
  2. There are several reasons why your gum might be peeling off, including gum disease, poor oral hygiene, hormonal changes, and reactions to certain medications.

  3. Is it normal for gums to peel?
  4. No, it is not normal for gums to peel. If you notice any unusual changes in your gums, it is best to consult a dentist or healthcare professional to determine the underlying cause.

  5. How can I prevent my gums from peeling?
  6. You can prevent your gums from peeling by maintaining good oral hygiene, avoiding tobacco products, eating a healthy diet, and practicing stress-relieving techniques.

  7. What can I do if my gums continue to peel?
  8. If your gums continue to peel despite your efforts to maintain good oral hygiene, it is important to seek professional dental care. Your dentist may recommend a deep cleaning, medication, or other treatments to address the underlying issue.

  9. Can skin peeling off gums be a sign of something serious?
  10. Yes, skin peeling off gums can be a sign of a serious underlying condition, such as gum disease or an allergic reaction. If you notice any unusual changes in your gums, it is important to seek professional dental care as soon as possible.

Post a Comment for "Unveiling the Secret Behind Skin Peeling Off Gums"